
เช็กด่วน! 5 อวัยวะที่เซลล์มะเร็ง "โปรดปราน" ซ่อนเก่งจนหาไม่เจอ รู้อีกทีก็ลามหนัก
เช็กด่วน! 5 จุดในร่างกายที่ "มะเร็ง" ชอบซ่อนแอบ ตรวจสุขภาพทั่วไปอาจมองไม่เห็น
การตรวจพบโรคร้ายตั้งแต่เนิ่นๆ คือกุญแจสำคัญที่จะช่วยให้รอดพ้นจาก "มะเร็ง" แต่ในความเป็นจริง กลับมีอวัยวะบางส่วนที่เป็นเป้าหมายโปรดของเซลล์มะเร็ง แถมยังมีความสามารถในการ "อำพรางตัว" ได้อย่างแนบเนียน แม้เราจะตรวจสุขภาพประจำปีด้วยโปรแกรมพื้นฐาน ก็อาจปล่อยให้ก้อนเนื้อร้ายหลุดรอดสายตาไปจนลุกลามได้
บทความนี้จะพาไปสำรวจ 5 ตำแหน่งในร่างกายที่มะเร็งชอบโจมตีและตรวจเจอได้ยากที่สุด เพื่อให้คุณรู้ทันและวางแผนการตรวจได้แม่นยำยิ่งขึ้น
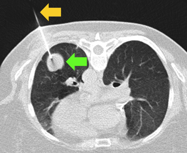
1. ปอด (Lung)
มะเร็งปอดครองแชมป์สาเหตุการเสียชีวิตอันดับต้นๆ ของโลก ข้อมูลจาก GLOBOCAN ระบุว่าผู้ป่วยกว่า 70% ถูกวินิจฉัยเมื่อเข้าสู่ระยะลุกลาม (ระยะ 3 หรือ 4) แล้ว
สาเหตุหลักมาจากการที่ปอดมีโครงสร้างซับซ้อนและถูกบดบังด้วยกระดูกซี่โครง การเอกซเรย์ปอด (X-ray) แบบธรรมดาจึงยากที่จะเห็นจุดเล็กๆ ที่มีขนาดต่ำกว่า 10 มิลลิเมตร การตรวจที่แม่นยำกว่าคือการทำ CT Scan แบบใช้รังสีต่ำ (Low-dose CT) ซึ่งช่วยลดอัตราการเสียชีวิตได้ดีกว่าเอกซเรย์ธรรมดาถึง 20%
2. เต้านม (Breast)
สำหรับคุณผู้หญิง การคลำเต้านมด้วยตัวเองหรือการทำอัลตราซาวนด์เพียงอย่างเดียวอาจยังมีข้อจำกัด งานวิจัยพบว่าอัลตราซาวนด์อาจมองข้ามรอยโรคแบบหินปูนเกาะกลุ่มขนาดเล็กที่ไม่ก่อตัวเป็นก้อนได้ถึง 15-20%
โดยเฉพาะในผู้หญิงที่มีเนื้อเต้านมแน่น (Dense Breast) ความแม่นยำของการตรวจแบบปกติจะลดลงอย่างมาก ผู้เชี่ยวชาญจึงแนะนำให้ตรวจร่วมกับ การทำแมมโมแกรม (Mammography) เพื่อเพิ่มโอกาสเจอโรคตั้งแต่เนิ่นๆ ซึ่งจะช่วยเพิ่มอัตราการรอดชีวิตสูงถึง 99% หากรักษาทันเวลา
3. ปากมดลูก (Cervix)
เซลล์ผิดปกติที่ซ่อนลึกอยู่ในเยื่อบุปากมดลูกมักไม่แสดงอาการเตือน ทำให้ผู้ป่วยชะล่าใจ การตรวจภายในด้วยตาเปล่าเพียงอย่างเดียวจึงไม่เพียงพอ
การตรวจคัดกรองที่มีประสิทธิภาพคือการใช้ Pap smear ร่วมกับการตรวจหาเชื้อ HPV ซึ่งมีความแม่นยำสูงกว่า 90% หากละเลยการตรวจเชิงลึกและรอจนแสดงอาการ มักเป็นระยะที่มะเร็งลุกลามแล้ว และโอกาสรักษาหายขาดจะลดลงเหลือต่ำกว่า 60%
4. ตับอ่อน (Pancreas)
นี่คืออวัยวะที่ได้รับฉายาว่า "เพชฌฆาตเงียบ" เพราะมีอัตราการรอดชีวิตต่ำที่สุด (เพียง 11-12% ใน 5 ปี) ตับอ่อนซ่อนตัวอยู่ลึกหลังกระเพาะอาหาร ทำให้มองเห็นได้ยากมากจากการอัลตราซาวนด์ช่องท้องทั่วไป
ก้อนเนื้อในตับอ่อนมักไม่ก่อให้เกิดความเจ็บปวดจนกว่าจะลามไปอวัยวะข้างเคียงหรือทำให้ตัวเหลืองตาเหลือง ดังนั้น โปรแกรมตรวจสุขภาพพื้นฐานจึงแทบจะ "แตะไม่ถึง" มะเร็งตับอ่อนในระยะเริ่มต้นเลย
5. ตับ (Liver)
ตับเป็นอวัยวะที่ "อดทน" มาก แม้จะมีเซลล์มะเร็งก่อตัวขึ้น แต่ค่าเอนไซม์ตับจากการเจาะเลือดอาจยังโชว์ว่าปกติ สถิติชี้ว่าผู้ป่วยมะเร็งตับส่วนใหญ่รู้ตัวเมื่อก้อนใหญ่มากแล้ว
การอัลตราซาวนด์เพียงอย่างเดียวโดยไม่ตรวจหาค่าบ่งชี้มะเร็งตับ (AFP) หรือทำ MRI ในกลุ่มเสี่ยงสูง อาจทำให้พลาด "ช่วงเวลาทอง" ในการผ่าตัดรักษาไปอย่างน่าเสียดาย
คำแนะนำจากผู้เชี่ยวชาญ
การรู้ข้อจำกัดของการตรวจแบบทั่วไปจะช่วยให้คุณวางแผนดูแลสุขภาพได้ดีขึ้น กุญแจสำคัญไม่ใช่แค่การไปหาหมอตามนัด แต่คือการเลือก "วิธีตรวจที่ถูกต้อง" สำหรับอวัยวะที่ซับซ้อน
นอกจากนี้ การดูแลตัวเองอย่างยั่งยืนด้วยการกินอาหารสมดุล ออกกำลังกาย และจัดการความเครียด ยังเป็นเกราะป้องกันโรคที่ดีที่สุด หมั่นสังเกตสัญญาณเตือนเล็กๆ น้อยๆ ของร่างกาย และเลือกตรวจคัดกรองเชิงลึกในจุดที่เสี่ยง เพื่อตัดไฟตั้งแต่ต้นลม
- เซอร์ไพรส์! แพทย์ญี่ปุ่นโหวต "ราชาสุขภาพ" อันดับ 1 ราคาไม่แพง แต่มาแรงแซงบล็อกโคลี-อะโวคาโด!!!
- หลายบ้านยังพลาด เตือน 5 อาหาร ที่วางไว้ที่มุมบ้าน ยังดีกว่าแช่ตู้เย็น เพราะยิ่งแช่...ยิ่งเสีย!

ขอขอบคุณ
ข้อมูล :SOHA