หนุ่มอายุแค่ 25 ป่วยมะเร็งตับระยะสุดท้าย หมอซักประวัติแล้วถอนใจ ต้นเหตุไม่ใช่เหล้า!

อุทาหรณ์หนุ่มวัย 25 ป่วยมะเร็งตับระยะสุดท้าย หมอชี้จุดตาย ตรวจพบไวรัสตับอักเสบบี 10 ปี ไม่รักษา
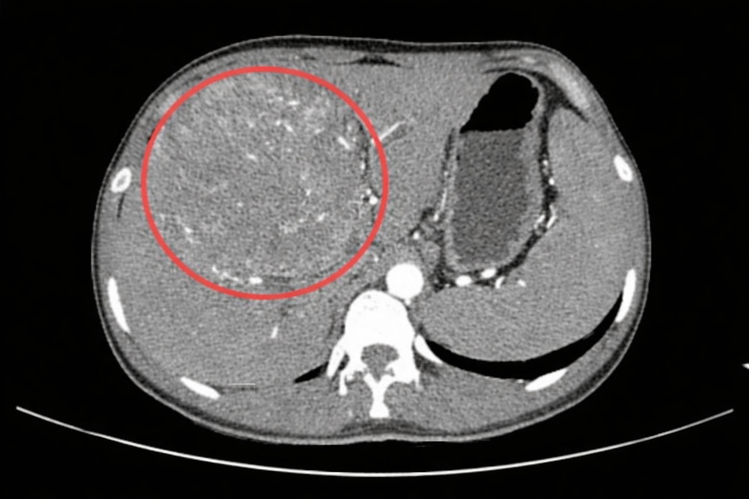
เรื่องราวที่สร้างความตกตะลึงให้กับวงการแพทย์และคนรุ่นใหม่เกิดขึ้นที่ โรงพยาบาลศูนย์อ่าวปินไห่ (Binhai Bay Central Hospital) เมืองตงกวน ประเทศจีน เมื่อทีมแพทย์ได้รับตัวผู้ป่วยชายวัยเพียง 25 ปี ที่มาด้วยอาการอ่อนเพลียเรื้อรังและท้องอืดอย่างรุนแรง แต่ผลการตรวจเอกซเรย์คอมพิวเตอร์ (CT scan) กลับปรากฏข้อความที่น่าสะเทือนใจว่า "พบเนื้องอกในตับขนาดใหญ่" พร้อมคำวินิจฉัยว่าเป็น มะเร็งตับระยะสุดท้าย
สิ่งที่น่าเสียดายที่สุดคือ เมื่อย้อนประวัติไป 10 ปีก่อน ขณะที่เขายังเป็นเพียงนักเรียนมัธยมต้น เขาเคยถูกตรวจพบว่าเป็นพาหะ ไวรัสตับอักเสบบี (HBsAg) มาก่อน แต่ในขณะนั้นเขายังเป็นวัยรุ่นและไม่มีอาการผิดปกติใดๆ จึงชะล่าใจและคิดว่า "ไม่เป็นไร" โดยไม่ยอมเข้ารับการตรวจติดตามอาการหรือปรึกษาแพทย์เฉพาะทางอีกเลย จนกระทั่งไวรัสกัดกินตับอย่างเงียบเชียบและกลายเป็นมะเร็งในที่สุด

สถิติที่น่ากลัว: มะเร็งตับในคนรุ่นใหม่เพิ่มสูงขึ้น
เคสของชายหนุ่มรายนี้ไม่ใช่รายเดียวที่เกิดขึ้น จากสถิติในช่วงปี 2567-2569 ของแผนกโรคติดเชื้อในโรงพยาบาลดังกล่าว พบผู้ป่วยมะเร็งตับระยะสุดท้ายที่มีอายุต่ำกว่า 40 ปี ถึง 8 ราย โดยในจำนวนนี้มี 2 รายที่อายุยังไม่ถึง 30 ปีด้วยซ้ำ สาเหตุหลักมาจากความเข้าใจผิดของคนในสังคมที่คิดว่าไวรัสตับอักเสบบีหากไม่มีอาการก็ไม่จำเป็นต้องรักษา
ข้อมูลจากองค์การอนามัยโลก (WHO) ระบุว่า ไวรัสตับอักเสบบี (HBV) เป็นปัญหาสาธารณสุขระดับโลกที่สำคัญ เนื่องจากมีอัตราการติดเชื้อสูงและนำไปสู่ภาวะแทรกซ้อนรุนแรง โดยไวรัสชนิดนี้ติดต่อผ่านทางเลือด, จากแม่สู่ลูก และทางเพศสัมพันธ์ ไม่ใช่ การรับประทานอาหารร่วมกัน การจับมือ หรือการกอดจูบทั่วไป
ความเข้าใจผิดที่เป็นอันตรายถึงชีวิต
นักโภชนาการและผู้เชี่ยวชาญด้านโรคตับระบุว่า ความเชื่อเดิมๆ กำลังทำให้คนรุ่นใหม่ตกอยู่ในความเสี่ยง ดังนี้:
- "ไม่มีอาการเท่ากับปลอดภัย" คือความเข้าใจที่ผิด: ไวรัสที่อาศัยอยู่ในร่างกายเป็นเวลานานสามารถก่อให้เกิดตับอักเสบเรื้อรัง ตับแข็ง และกลายเป็นมะเร็งตับได้โดยไม่มีสัญญาณเตือน
- การรักษาช่วยลดความเสี่ยงได้จริง: ผลการศึกษาพบว่าการได้รับยาต้านไวรัสตามมาตรฐานอย่างถูกต้อง สามารถลดความเสี่ยงในการเกิดมะเร็งตับได้มากกว่า 60% ภายในระยะเวลา 5 ปี
- ต้องตรวจติดตามทุก 6-12 เดือน: ผู้ที่เป็นพาหะจำเป็นต้องตรวจหน้าที่ของตับ, อัลตราซาวนด์ และตรวจค่าโปรตีนบ่งชี้มะเร็งตับ (AFP) เป็นประจำแม้จะรู้สึกแข็งแรงดีก็ตาม
แนวทางการป้องกันและดูแลรักษา
เพื่อป้องกันความสูญเสียก่อนวัยอันควร กรมควบคุมโรค แนะนำให้ยึดหลักปฏิบัติดังนี้:
- ฉีดวัคซีนป้องกัน: โดยเฉพาะเด็กแรกเกิดควรได้รับวัคซีนเข็มแรกภายใน 24 ชั่วโมงหลังคลอด ซึ่งให้ผลป้องกันสูงกว่า 95% สำหรับผู้ใหญ่ในกลุ่มเสี่ยงควรตรวจหาภูมิคุ้มกันและฉีดวัคซีนกระตุ้น
- งดพฤติกรรมเสี่ยง: หลีกเลี่ยงการใช้ของมีคมร่วมกัน เช่น มีดโกนหนวด แปรงสีฟัน หรือการสักในสถานประกอบการที่ไม่ผ่านการฆ่าเชื้อ
- ดูแลสุขภาพตับ: ผู้ที่ติดเชื้อไวรัสแล้วควรงดเครื่องดื่มแอลกอฮอล์และบุหรี่โดยเด็ดขาด เนื่องจากเป็นตัวเร่งให้เกิดมะเร็งตับเร็วขึ้น และห้ามหยุดยาต้านไวรัสเองโดยไม่ได้รับคำสั่งจากแพทย์
การตรวจพบไวรัสตับอักเสบบีไม่ได้หมายความว่าจะต้องเป็นมะเร็งเสมอไป หากได้รับความใส่ใจและการรักษาที่ถูกต้องตั้งแต่วันแรกที่รู้ตัว ความเข้าใจของสังคมและการไม่ตีตราผู้ป่วยเป็นสิ่งสำคัญที่จะช่วยให้ผู้ที่มีเชื้อกล้าออกมาตรวจและรักษา เพื่อไม่ให้ชีวิตต้องจบลงด้วยคำว่า "สายเกินไป" เหมือนกรณีของชายหนุ่มรายนี้
ดาวน์โหลดสนุกแอปฟรี