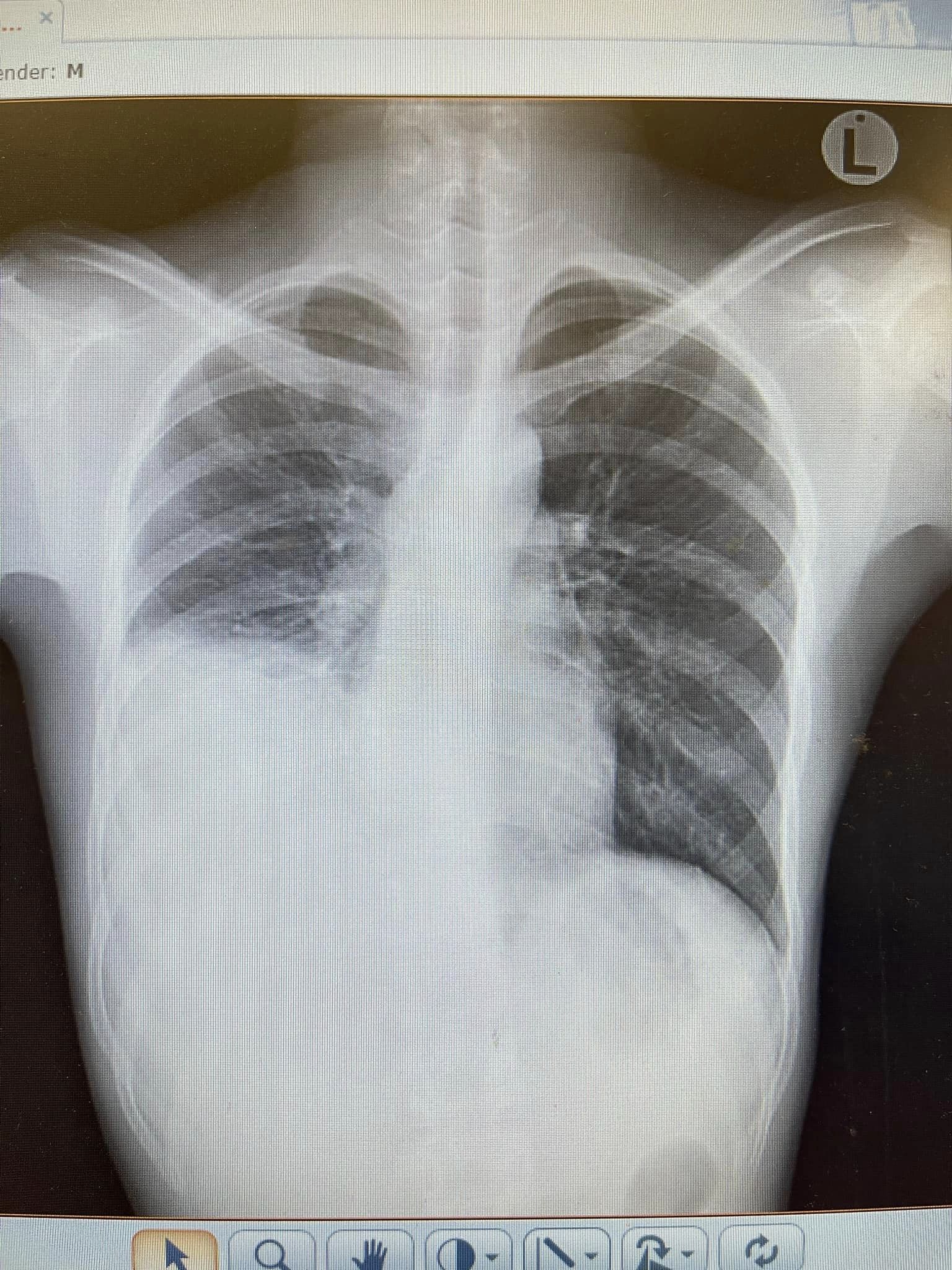
แกลเลอรีรูปภาพ หมอเตือน ตั้งสติก่อนกินตำปูปลาร้า คนไข้อายุ 15 เอกซเรย์ปอดเจอ "โพรงฝีหนอง" 10 ซม.
8 ภาพ หมอเตือน ตั้งสติก่อนกินตำปูปลาร้า คนไข้อายุ 15 เอกซเรย์ปอดเจอ "โพรงฝีหนอง" 10 ซม.

รูปภาพของ หมอเตือน ตั้งสติก่อนกินตำปูปลาร้า คนไข้อายุ 15 เอกซเรย์ปอดเจอ "โพรงฝีหนอง" 10 ซม.

อัลบั้มภาพทั้งหมด หมอเตือน ตั้งสติก่อนกินตำปูปลาร้า คนไข้อายุ 15 เอกซเรย์ปอดเจอ "โพรงฝีหนอง" 10 ซม.