หนุ่มอายุแค่ 24 ตาบอดกะทันหัน แพทย์ชี้สาเหตุช็อก "เครื่องดื่ม" ที่คนรุ่นใหม่ชื่นชอบ!

อุทาหรณ์คนรักหวาน! หนุ่มวัย 24 ตาบอดกะทันหัน หมอชี้เป้า "เครื่องดื่มยอดฮิต" คือต้นเหตุทำ "สโตรกตา"
"จู่ๆ ทุกอย่างตรงหน้าก็แปลกไป ตาขวาของผมมืดสนิท มองไม่เห็นอะไรเลย ผมตกใจมากจนต้องรีบให้คนพาส่งโรงพยาบาลทันที" นี่คือคำบอกเล่าสุดระทึกของอาหมิง (นามสมมติ) ชายหนุ่มวัย 24 ปีที่ต้องเผชิญกับโลกมืดเพียงชั่วพริบตา
วินาทีชีวิต: ตาบอดเฉียบพลันโดยไร้สาเหตุ
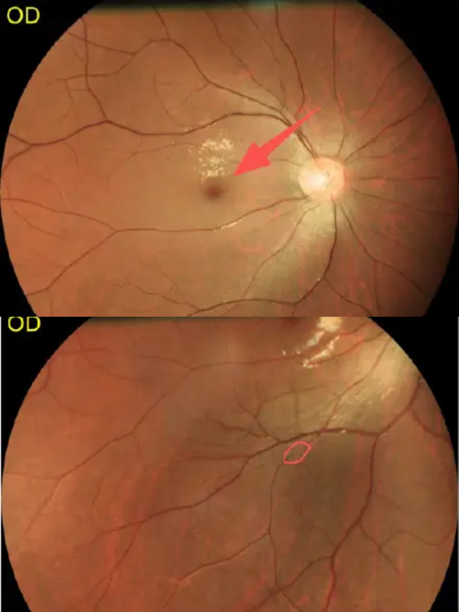
เมื่อคืนวันที่ 18 เมษายนที่ผ่านมา อาหมิง ชายหนุ่มจากฝูโจว ประเทศจีน ต้องตกอยู่ในอาการผวา เมื่อตาข้างขวาของเขามืดดับลงโดยไม่มีการกระทบกระเทือนใดๆ เมื่อถึงโรงพยาบาล แพทย์พบว่ารูม่านตาขวาขยายกว้างและไม่มีปฏิกิริยาตอบสนองต่อแสง ผลวินิจฉัยออกมาว่าเขาเป็น "โรคหลอดเลือดแดงจอประสาทตาอุดตัน" หรือที่เรียกกันว่า "สโตรกตา" (Eye Stroke)
แม้ทีมแพทย์จะช่วยกู้คืนการมองเห็นมาได้บางส่วน แต่ "ลิ่มไขมัน" ที่อุดตันยังไม่หายไปไหน แต่มันแค่เคลื่อนที่ไปอยู่ในหลอดเลือดที่ลึกขึ้น ซึ่งอาจส่งผลต่อการมองเห็นในอนาคต โดยปกติแล้วผู้ป่วยโรคนี้มักมีพยากรณ์โรคที่ไม่ดีนัก และยากที่จะกู้คืนสายตาให้กลับมาปกติได้ร้อยละร้อย
เปิดโฉม "คนร้าย" ที่คนรุ่นใหม่เสพติด
อาหมิงเสียใจมากเพราะคิดว่าตัวเองยังหนุ่มและไม่มีโรคประจำตัว แต่เมื่อหมอซักประวัติไลฟ์สไตล์ เขาก็ต้องเปลี่ยนเป็นความรู้สึกผิดแทน เพราะ "ตัวการ" คือเครื่องดื่มที่เขาดื่มเป็นประจำนั่นคือ "ชานมไข่มุก"
อาหมิงสารภาพว่าเขาติดรสหวานมาก และดื่มชานมอย่างน้อย 4-5 แก้วต่อสัปดาห์ โดยมักจะสั่งแบบหวานจัด ท็อปปิ้งล้น และเน้นรสชาติมันๆ
ทำไมชานมถึงทำให้ตาบอด?
แพทย์อธิบายว่า แม้ชานมอาจไม่ใช่สาเหตุเดียว แต่เป็น "ปัจจัยหลัก" เพราะเครื่องดื่มที่มีน้ำตาลและไขมันสูงมาก จะไปเพิ่มความหนืดของเลือด ทำให้ระดับไขมันในเลือดผิดปกติ จนเกิดการก่อตัวของ "ลิ่มไขมัน" เมื่อลิ่มไขมันเหล่านี้ไหลไปตามกระแสเลือดและไป "ติด" อยู่ที่หลอดเลือดตา มันจะตัดขาดการส่งเลือดไปเลี้ยงจอประสาทตาทันที ทำให้ตาบอดได้ในเวลาไม่กี่นาที!
"นาทีทอง" (Golden Period) ในการรักษาโรคสโตรกตา มีเพียง 40-60 นาทีเท่านั้น! หากช้ากว่านี้เซลล์จอประสาทตาจะตายถาวรจากการขาดออกซิเจน
7 กฎเหล็กป้องกัน "สโตรกตา" สำหรับวัยรุ่นสร้างตัว
-
คุมหวาน คุมมัน: ลดน้ำตาลและไขมันอิ่มตัวเพื่อให้เลือดไม่ "ข้นเหนียว" เพิ่มผักใบเขียวและปลาที่มีไขมันดี
-
ห้ามเล่นมือถือในที่มืด: เพื่อป้องกันไม่ให้หลอดเลือดตาหดตัวรุนแรงจากแสงสีเขียว
-
ใช้สูตร 20-20-20: ทำงาน 20 นาที ให้พักสายตามองไกล 20 ฟุต (6 เมตร) เป็นเวลา 20 วินาที
-
สังเกตอาการ "ตาบอดชั่วคราว": หากวูบมืดไปแล้วกลับมามองเห็นชัดใหม่ ให้รีบไปตรวจทันที เพราะนั่นคือสัญญาณเตือนของสโตรก
-
นวด/ประคบอุ่น: ช่วยกระตุ้นการไหลเวียนเลือดรอบดวงตาหลังใช้งานหนักมาทั้งวัน
-
เลิกนอนดึก: การนอนหลัง 23.00 น. บ่อยๆ ส่งผลต่อระบบไหลเวียนออกซิเจนไปยังจอประสาทตา
-
ตรวจสุขภาพประจำปี: คอยเช็กระดับไขมันและความดันโลหิต อย่าปล่อยให้ "ท่อเลือด" สกปรกจนอุดตัน
กรณีของอาหมิงเป็นบทเรียนราคาแพงที่ย้ำเตือนว่า 'ความหวาน' ที่เราเพลิดเพลิน อาจกำลังเปลี่ยนเลือดให้กลายเป็นของเสียที่หนืดข้นจนไปอุดตันส่วนสำคัญของร่างกาย ไม่ว่าจะเป็นดวงตา หัวใจ หรือสมอง การป้องกันด้วยการปรับพฤติกรรมการกินตั้งแต่วันนี้ จึงเป็นวิธีที่ดีที่สุดเพื่อให้เราไม่ต้องเผชิญกับโลกมืดที่ไม่มีวันย้อนกลับ
- แพทย์อเมริกัน แนะนำเครื่องดื่ม 3 ชนิด ที่ตับและระบบย่อยอาหาร "ชอบ" ทุกอย่างมีขายในไทย!
- แพทย์จีนอายุยืน 104 ปี เผยเมนูโปรด 2 อย่างที่กินทุกวัน หาซื้อได้ทั่วไป!

ดาวน์โหลดสนุกแอปฟรี