ไม่สูบ-ไม่ไอ แต่ปอดพังเงียบๆ หมอแชร์เคสหญิง เพิ่งรู้ว่าป่วยหลังเอกซเรย์ อึ้ง สาเหตุอยู่ใกล้บ้าน!

หมอมนูญ เผยเคสเตือนภัย หญิงวัย 84 ปี ไร้อาการ แต่เอกซเรย์เท่านั้น พบ "ปอดอักเสบ" เป็นก้อนจากเชื้อราในมูลนกพิราบ
วันที่ 12 มกราคม 2569 เพจ หมอมนูญ ลีเชวงวงศ์ FC เปิดเผยเคสผู้ป่วยหญิงชาวไทย อายุ 84 ปี ที่ดูเหมือนไม่มีอาการผิดปกติใด ๆ ทั้งไม่ไอ ไม่มีไข้ ไม่เหนื่อย เบื่ออาหาร หรือน้ำหนักลด และยังสามารถช่วยเหลือตัวเองได้ตามปกติ แม้จะมีโรคประจำตัวอย่างความดันโลหิตสูง ไขมันในเลือดสูง และเบาหวาน แต่กลับตรวจพบความผิดปกติรุนแรงในปอดโดยไม่รู้ตัว
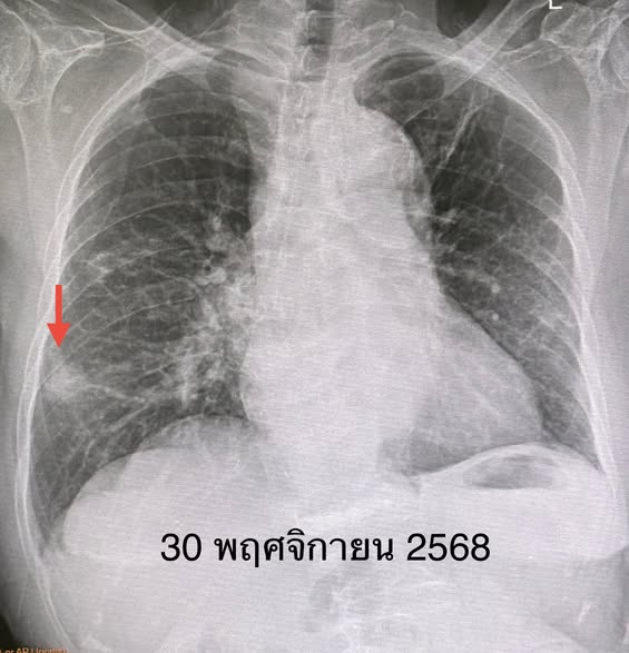
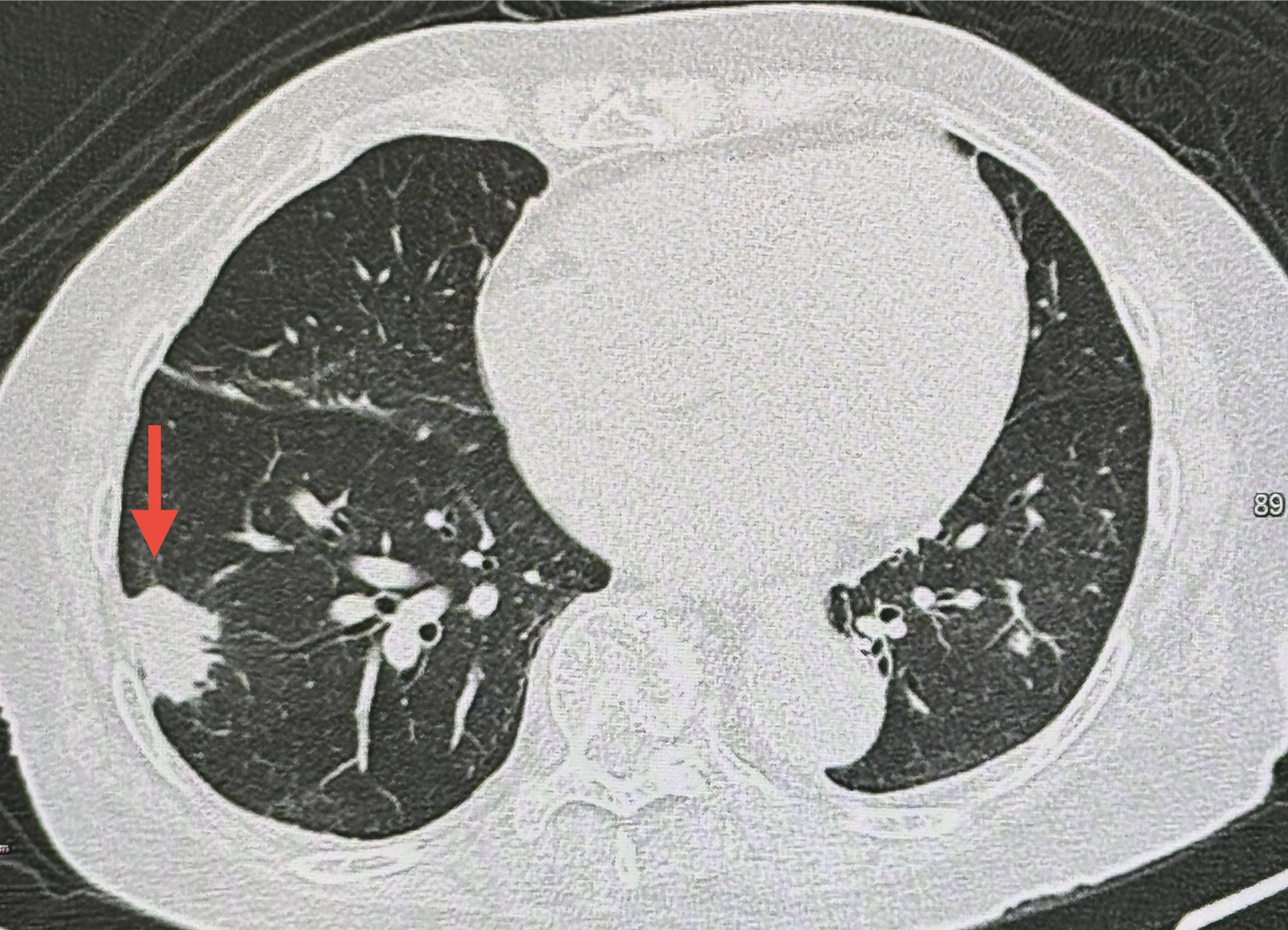
ผู้ป่วยรายนี้เข้ารับการตรวจสุขภาพประจำปี แพทย์ตรวจร่างกายไม่พบไข้ ฟังปอดปกติ แต่การเอกซเรย์ปอดพบเงาผิดปกติบริเวณปอดข้างขวาด้านบน ซึ่งเป็นร่องรอยจากการเคยป่วยวัณโรคในอดีต นอกจากนี้ยังพบก้อนใหม่ขนาด 1.9 x 1.9 เซนติเมตรที่ปอดข้างขวาด้านล่าง ซึ่งไม่เคยพบมาก่อนในปีก่อนหน้า เมื่อทำเอกซเรย์คอมพิวเตอร์ปอด พบว่าก้อนดังกล่าวมีขนาดใหญ่ขึ้นเป็น 3.0 × 2.4 × 2.0 เซนติเมตร

แม้ผลตรวจเลือดค่ามะเร็งทุกชนิดจะอยู่ในเกณฑ์ปกติ แต่แพทย์ตัดสินใจเจาะก้อนด้วยเข็มเพื่อนำชิ้นเนื้อไปตรวจทางพยาธิวิทยา ผลตรวจพบว่าปอดอักเสบจากเชื้อราคริปโตค็อกคัส (Cryptococcus) และเมื่อส่งตรวจเลือดเพื่อหาแอนติเจนของเชื้อคริปโตค็อกคัส พบให้ผลบวกที่ค่าไตเตอร์ 1 : 20

แพทย์ได้ตรวจเพิ่มเติมด้วยการทำเอกซเรย์คอมพิวเตอร์สมองและการเจาะน้ำไขสันหลัง ผลออกมาปกติ ไม่พบการกระจายของเชื้อราเข้าสู่เยื่อหุ้มสมอง ซึ่งถือเป็นภาวะแทรกซ้อนที่อันตราย แผนการรักษาคือให้ยาต้านเชื้อรา Fluconazole รับประทานต่อเนื่องอย่างน้อย 6 เดือน และติดตามอาการอย่างใกล้ชิด

จากการซักประวัติพบว่า ผู้ป่วยอาศัยอยู่ในบ้านตึก 4 ชั้น โดยพักอยู่ที่ห้องชั้น 2 และที่บ้านมีการเลี้ยงนกพิราบไว้บนดาดฟ้ามานานหลายปี นกพิราบมักมาเกาะตามระเบียงและขอบหน้าต่างห้องของผู้ป่วยเป็นประจำ อีกทั้งผู้ป่วยยังเป็นผู้ทำความสะอาดมูลนกพิราบที่ติดอยู่บริเวณดังกล่าวด้วยตนเองอยู่เสมอ

แพทย์สรุปว่า ผู้ป่วยน่าจะหายใจเอาสปอร์ของเชื้อรา Cryptococcus Neoformans จากมูลนกพิราบเข้าสู่ปอด จนทำให้เกิดการอักเสบในลักษณะเป็นก้อน โชคดีที่เชื้อไม่กระจายออกนอกปอด เนื่องจากร่างกายของผู้ป่วยยังแข็งแรงและมีภูมิคุ้มกันที่ดี
แพทย์แนะนำให้ประชาชนหลีกเลี่ยงการเข้าใกล้หรือทำความสะอาดมูลนกพิราบโดยไม่ป้องกัน หากจำเป็นต้องทำความสะอาด ควรสวมหน้ากากอนามัยอย่างเคร่งครัด และหากเป็นไปได้ควรใช้หน้ากากชนิด N95 เพื่อป้องกันการสูดดมสปอร์เชื้อราเข้าสู่ปอด ซึ่งอาจก่อให้เกิดโรครุนแรงโดยไม่แสดงอาการในระยะแรก
ดาวน์โหลดสนุกแอปฟรี


